pengaruh virus corona disease terhadap kerusakan sel pada jaringan yang menyusun organ pernapasan

Nama : Wikhe Nurholidana
kelas : XI IPA 2

Organ-organ yang diserang oleh virus Sars-CoV-2 ini merupakan kelompok organ dan jaringan yang memungkinkan manusia untuk bernapas. Oleh karena itu, mereka yang sistem pernapasannya telah terinfeksi virus ini akan mengalami kesulitan bernafas.

Dalam beberapa kasus infeksi, dampak yang diakibatkan oleh infeksi virus ini bisa menimbulkan kerusakan parah pada paru-paru. Virus bekerja dengan membajak sel-sel di dalam tubuh, kemudian masuk ke dalam sel tersebut dan mereproduksi diri. Setelah berkembang menjadi lebih banyak, virus akan menyebar ke sel-sel baru yang ada di sekitar sel tempat ia tinggal.

Bagaimana virus ini menginfeksi orang?
Virus menyebar melalui tetesan air liur yang muncrat dari mulut orang akibat batuk atau bersin, yang kemudian masuk ke tubuh orang yang berada di dekatnya melalui mulut, hidung dan mata.  Virus kemudian masuk ke jalur pernafasan dan membran mukus di bagian belakang tenggorokan, menempel pada sebuah reseptor di dalam sel, dan mulai berkembang di sana. 
Virus ini mempunyai protein dengan ujung tajam yang membuat virus bisa menempel ke membran sel, dan dari situ, materi genetis virus masuk ke sel tubuh manusia. Materi genetis tersebut kemudian membajak metabolisme sel dan membuat sel tidak lagi berkembang untuk kesehatan tubuh melainkan untuk memperbanyak virusnya.

Bagaimana proses ini menyebabkan masalah pernafasan?

Saat virus ini berkembang, mereka mulai menginfeksi sel-sel di sekitarnya. Gejalanya biasanya mulai terasa di belakang tenggorokan, berupa rasa nyeri tenggorokan dan batuk kering. Lalu virus dengan cepat merambat masuk ke saluran pangkal paru-paru, hingga masuk ke paru-paru. Proses ini merusak jaringan pada paru-paru, membuat jaringan ini membengkak, sehingga lebih sulit bagi paru-paru untuk memasok oksigen dan menyalurkan keluar karbondioksida. Pembengkakan pada jaringan paru dan kurangnya oksigen dalam darah membuat jaringan tersebut terisi dengan cairan, nanah dan sel yang mati. Pneumonia, radang paru-paru, bisa muncul. Ini bisa membuat pasien mengalami kesulitan bernafas sehingga butuh alat bantu pernafasan (ventilator). Dalam beberapa kasus, terjadi yang disebut Sindrom Kesulitan Pernafasan Akut (Acute Respiratory Distress Syndrome), sehingga bahkan dengan ventilator pun, pasien bisa meninggal karena kesulitan pernafasan.

Bagaimana pergerakan virus di paru-paru?

Virus sepertinya mulai bergerak dari wilayah pinggiran kedua belah paru-paru, dan mungkin butuh waktu untuk naik ke saluran pernafasan atas, trakea dan pusat pernafasan lainnya.  Pola ini membantu menjelaskan kenapa di Wuhan, banyak kasus yang tidak bisa diidentifikasi pada awalnya.

Proses pengetesan awal di berbagai RS di Tiongkok tidak selalu bisa mendeteksi infeksi di sisi luar paru-paru, sehingga biasanya orang yang menunjukan gejala disuruh pulang tanpa diberikan perawatan. Dan terkadang, mereka tidak merasa cukup sakit untuk mencari perawatan, dan tetap tinggal di rumah. Mereka inilah yang kemudian menulari anggota keluarganya. Ini salah satu alasan kenapa penyebarannya menjadi luas. 

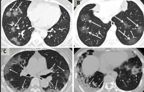
Sebuah studi menemukan bahwa lebih dari 50% pasien yang diteliti, yakni 121 pasien, di Tiongkok, mempunyai hasil CT Scan yang normal pada awal mereka sakit.  Begitu sakitnya mulai parah, CT Scan mulai menunjukan gambar seperti “pecahan kaca buram”, semacam selaput asap yang menutupi beberapa bagian paru-paru. Ini merupakan tanda-tanda infeksi. Selaput ini bisa tersebar di berbagai wilayah paru-paru, dan menebal di wilayah yang parah, sehingga muncul pola “tempelan acak” dalam hasil pemindaian.


Infeksi bisa menyebar melalui membran mukus, dari hidung sampai ke anus. Jadi, walaupun sepertinya virus menyerang paru-paru, tetapi virus juga bisa menginfeksi saluran pencernaan. Inilah kenapa beberapa pasien menunjukan gejala pencernaan seperti diare atau sembelit. Virus ini juga bisa masuk ke dalam darah. Akan tetapi, walaupun ditemukan RNA dari virus ini dalam darah dan kotoran, belum dapat dijelaskan apakah virus akan dapat bertahan lama dalam darah ataupun kotoran.

Hati

Virus corona juga dapat menyebabkan masalah pada sistem lain dalam tubuh, karena respons imun hiperaktif yang sudah disebutkan sebelumnya.Pada beberapa kasus langka, pasien mengalami cedera ginjal akut dan henti jantung., menurut Angela Rasmussen, ahli virus dan peneliti dari Columbia University Mailman School of Public Health, itu belum tentu pertanda bahwa virus menyebar sendiri ke seluruh tubuh. Bisa saja, itu badai sitokin.

Sitokin merupakan protein yang digunakan sistem kekebalan tubuh sebagai alarm—mereka mengumpulkan sel-sel imun ke tempat infeksi.Sel-sel kekebalan kemudian membunuh jaringan yang terinfeksi untuk menyelamatkan seluruh tubuh.Badai sitokin menciptakan peradangan yang melemahkan pembuluh darah di paru-paru dan menyebabkan cairan meresap ke kantung udara. Badai ini “membanjiri” sistem peredaran darah dan akhirnya menciptakan masalah sistemik di banyak organ.Dari sana, keadaan bisa memburuk. Pada beberapa kasus COVID-19, respons sitokin—dikombinasikan dengan kapasitas yang berkurang dalam memompa oksigen ke seluruh tubuh—dapat menyebabkan kegagalan organ.Ketika virus corona menyebar dari sistem pernapasan, hati Anda serikngkali menjadi organ yang paling menderita. Para dokter telah melihat adanya indikasi luka pada hati terkait SARS, MERS dan COVID-19. Seringnya ringan, meski ada beberapa kasus parah yang menyebabkan kerusakan dan kegagalan hati.

Ginjal

Ya, ginjal Anda juga bisa terdampak virus corona. Enam persen dari pasien SARS menderita cedera ginjal akut. Beberapa studi telah menunjukkan bahwa virus corona baru pun bisa melakukan hal yang sama. Ini mungkin tidak umum pada COVID-19, tapi jika terjadi, dampaknya sangat fatal.Seperti hati, ginjal Anda berperan sebagai penyaring darah. Setiap ginjal diisi dengan sekitar 800 ribu unit penyulingan mikroskopis yang disebut nefron. Nefron-nefron ini memiliki dua komponen utama: filter untuk membersihkan darah, serta tabung kecil untuk mengembalikan hal-hal baik ke dalam tubuh dan membuang yang kotor melalui urine.Menurut Lai, temuan yang menunjukkan cedera ginjal akut pada pasien SARS mungkin disebabkan beberapa faktor, termasuk tekanan darah rendah, sepsis, obat-obatan, atau gangguan metabolisme.

Sementara itu, semakin parah kasus yang mengarah ke gagal ginjal akut menunjukkan tanda-tanda badai sitokin. Gagal ginjal akut pun kadang-kadang juga disebabkan oleh antibiotik atau kegagalan multiorgan. Pada akhirnya, semuanya terhubung.

Golongan yang Berisiko Tertular dan Menularkan COVID-19

Pada orang dewasa dan anak-anak dengan sistem imun baik yang tertular COVID-19 biasanya hanya menunjukkan gejala ringan (sakit kepala, keluhan gastrointestinal, atau flu like illness ) bahkan beberapa kasus tidak terdapat gejala yang tampak. Golongan ini dapat menjadi pembawa virus dan menularkannya ke kelompok rentan. Kelompok rentan mencakup:

  • Orang dengan usia di atas 50 tahun
  • Orang dengan komorbid, seperti hipertensi, penyakit paru, diabetes, kanker, penyakit jantung, atau penyakit hati kronik
  • Orang dengan imunokompromi

Penduduk yang tinggal atau memiliki riwayat berpergian ke wilayah dengan transmisi lokal dalam kurun 14 hari terakhir berpotensi tertular dan menularkan. Selain itu, orang dengan kontak erat pasien COVID-19, termasuk tenaga kesehatan, pun memiliki potensi serupa. Penyebaran nosokomial menjadi isu serius sehingga penggunaan Alat Perlindungan Diri (APD) dan penerapan universal precaution oleh tenaga kesehatan menjadi krusial.

Peran nutrisi pada COVID-19

  • Tersedianya semua unsur zat gizi yang cukup (energi; zat gizi makro, seperti karbohidrat, lemak, protein; zat gizi mikro, seperti vitamin dan mineral) dapat mempertahankan kekebalan tubuh
  • Apabila kondisi imunitas kita terjaga dengan baik, diharapkan virus seperti COVID-19 dapat ditangkal 
Bagaimana cara kerja vaksin?

  • Vaksin adalah produk biologis yang diberikan kepada seseorang untuk melindunginya dari penyakit yang melemahkan, bahkan mengancam jiwa.
  • Vaksin membantu sistem kekebalan tubuh melawan infeksi secara efisien dengan mengaktifkan respon tubuh terhadap penyakit tertentu.
  • Tubuh akan mengingat virus atau bakteri pembawa penyakit, mengenali, dan tahu cara melawannya.
Perlukah saya divaksinasi COVID-19?

Untuk mengendalikan pandemi, kita harus memutuskan rantai penularann. Dengan memiliki kekebalan yang didapatkan dari vaksinasi, kita akan terlindungi dari penyakit dan tidak akan menularkan penyakit kepada orang lain. Bila sudah divaksinasi namun tetap terinfeksi COVID-19, vaksinasi dapat mencegah terjadinya penyakit yang berat dan mencegah kematian. Dengan semakin banyak orang yang divaksinasi maka kita dapat melindungi orang-orang yang belum bisa mendapatkan vaksinasi (orang yang memiliki penyakit kekebalan tubuh menurun, ibu hamil, anak-anak).


Popular posts from this blog

Cara Perkembangbiakan (Reproduksi) Bakteri